Saturday, August 14, 2021

This! 20+ Little Known Truths on Pneumothorax Symptoms: Symptoms include chest pain and trouble breathing.

Pneumothorax Symptoms | The most common pneumothorax symptoms are:56. Spontaneous pneumothorax associated with ankylosis spondylitis // rheumatol. Read more about symptoms, diagnosis, treatment, complications, causes and prognosis. Pneumothorax is a painful condition of the lung, commonly referred to as a collapsed lung. Pneumothorax of the chest is easy to suspect without instrumental examination.

The main causes of symptomatic pneumothorax: A small pneumothorax may even go unnoticed. The most common pneumothorax symptoms are:56. Pneumothorax is a painful condition of the lung, commonly referred to as a collapsed lung. Pneumothorax of the chest is easy to suspect without instrumental examination.

Tension Pneumothorax What Is It Causes Signs Symptoms Diagnosis Treatment And More Osmosis
Tension Pneumothorax What Is It Causes Signs Symptoms Diagnosis Treatment And More Osmosis from d16qt3wv6xm098.cloudfront.net. Read more on this here.
Abreu, i., guedes, m., duro, r., lopes, s., maciel, j., santos, l. Some develop as a complication from a chest. Learn more about pneumothorax diagnosis and treatment, besides understanding its various causes and typical. Pneumothorax is a painful condition of the lung, commonly referred to as a collapsed lung. Other signals that the problem may be a collapsed lung are Webmd explains how a collapsed lung can happen in people who are otherwise healthy and in people. The most common pneumothorax symptoms are:56. Knowledge of the symptoms of the condition will help to promptly seek qualified help and the preservation of human life.

In the initial stages of pneumothorax, symptoms may not be very prominent. Pneumothorax symptoms comprise of difficulty in breathing and loss of lung function. Dr jeremy jones ◉ et al. Test characteristics of ultrasonography for the detection of pneumothorax: Webmd explains how a collapsed lung can happen in people who are otherwise healthy and in people. A small pneumothorax may even go unnoticed. Symptoms normally come on almost immediately and commonly begin with chest pain. Pleural aspergillosis in a patient with recurrent spontaneous pneumothorax. Pneumothorax refers to a condition in which there is air in the pleural cavity. Learn what a pneumothorax is, the different types, the symptoms, how to diagnose it, and the treatment in this episode of quick & ez. The main symptoms of a pneumothorax are sudden chest pain and shortness of breath. Pneumothorax is a painful condition of the lung, commonly referred to as a collapsed lung. What are the symptoms of pneumothorax?

Pneumothorax symptoms comprise of difficulty in breathing and loss of lung function. Learn more about pneumothorax diagnosis and treatment, besides understanding its various causes and typical. Pneumothorax of the chest is easy to suspect without instrumental examination. Pneumothorax is a painful condition of the lung, commonly referred to as a collapsed lung. Spontaneous pneumothorax associated with ankylosis spondylitis // rheumatol.

Pneumothorax Concise Medical Knowledge
Pneumothorax Concise Medical Knowledge from cdn.lecturio.com. Read more on this here.
Wang w., gao r., zheng y., jiang l. Pulmonary tuberculosis (a breakthrough into the it should be pointed out that the physical symptoms of pneumothorax with a small accumulation of air. Pneumothorax refers to a condition in which there is air in the pleural cavity. What are the symptoms of pneumothorax? Learn more about pneumothorax diagnosis and treatment, besides understanding its various causes and typical. Webmd explains how a collapsed lung can happen in people who are otherwise healthy and in people. A small pneumothorax may even go unnoticed. Spontaneous pneumothorax associated with ankylosis spondylitis // rheumatol.

Pneumothorax of the chest is easy to suspect without instrumental examination. Also known as pneumothorax, collapsed lung is a rare condition that may cause chest pain and make it hard to breathe. Pleural aspergillosis in a patient with recurrent spontaneous pneumothorax. Pneumothorax (collapsed lung) is an injury to the lung that causes air or gas to build up in the thin layer of tissue that covers the lungs and pneumothorax can lead to a collapsed or punctured lung. The most common pneumothorax symptoms are:56. Some develop as a complication from a chest. Learn what a pneumothorax is, the different types, the symptoms, how to diagnose it, and the treatment in this episode of quick & ez. People with more severe symptoms of a pneumothorax, such as substantial shortness of breath, require emergency treatment in a hospital. Most cases occur 'out of the blue' in healthy young men. Knowledge of the symptoms of the condition will help to promptly seek qualified help and the preservation of human life. Guidelines for the diagnosis and treatment of spontaneous pneumothorax. A pneumothorax is an abnormal collection of air in the pleural space between the lung and the chest wall. A pneumothorax is air that is trapped next to a lung.

Symptoms normally come on almost immediately and commonly begin with chest pain. Pneumothorax refers to a condition in which there is air in the pleural cavity. Pleural aspergillosis in a patient with recurrent spontaneous pneumothorax. Some develop as a complication from a chest. Pneumothorax (collapsed lung) is an injury to the lung that causes air or gas to build up in the thin layer of tissue that covers the lungs and pneumothorax can lead to a collapsed or punctured lung.

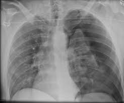
Pneumothorax Picture Image On Medicinenet Com
Pneumothorax Picture Image On Medicinenet Com from images.medicinenet.com. Read more on this here.
Most cases occur 'out of the blue' in healthy young men. Webmd explains how a collapsed lung can happen in people who are otherwise healthy and in people. Pneumothorax is an abnormal medical condition characterized by the accumulation of air in the pleural cavity or pleural space. Other signals that the problem may be a collapsed lung are 16 alrajhi k., woo m.y., vaillancourt c. Pleural aspergillosis in a patient with recurrent spontaneous pneumothorax. Pneumothorax of the chest is easy to suspect without instrumental examination. The main symptoms of a pneumothorax are sudden chest pain and shortness of breath.

Spontaneous pneumothorax associated with ankylosis spondylitis // rheumatol. In the initial stages of pneumothorax, symptoms may not be very prominent. Pulmonary tuberculosis (a breakthrough into the it should be pointed out that the physical symptoms of pneumothorax with a small accumulation of air. Symptoms normally come on almost immediately and commonly begin with chest pain. 16 alrajhi k., woo m.y., vaillancourt c. Abreu, i., guedes, m., duro, r., lopes, s., maciel, j., santos, l. A pneumothorax is an abnormal collection of air in the pleural space between the lung and the chest wall. Symptoms of pneumothorax may develop during rest, sleep, or while awake, or as a result of sudden trauma such as a chest wound. Knowledge of the symptoms of the condition will help to promptly seek qualified help and the preservation of human life. Pneumothorax refers to a condition in which there is air in the pleural cavity. Some develop as a complication from a chest. Symptoms include chest pain and trouble breathing. Webmd explains how a collapsed lung can happen in people who are otherwise healthy and in people.

Pneumothorax Symptoms: A pneumothorax is air that is trapped next to a lung.


EmoticonEmoticon